診療内容

まだ歯に穴は開いていないが、表面が溶かされてツヤがなくなり、白く濁って見えたり、薄い茶色になったりします。
歯の表面(エナメル質)の限られた狭い範囲に穴ができている状態です。
むし歯が歯の内部に広がり、象牙質まで進んだ状態です。
むし歯が神経(歯髄)にまで進んでいる状態です。表面の穴は必ずしも大きくなく、内部で広がっていることがあります。
歯冠部(歯ぐきから上の見える部分)がほとんど崩壊し、歯根だけが残った状態です。
歯垢(プラーク)の中の細菌によって歯ぐきに炎症を引き起こし、やがては歯を支えている骨を溶かしていく病気のことで、結果的に歯を失う原因となります。 歯垢(プラーク)とは取り除かなければ硬くなり、歯石と言われる物質に変化し歯の表面に強固に付着します。
※上記の項目に3つ当てはまる→油断は禁物、ご自身および歯医者さんで予防しましょう。
※上記の項目に6つ当てはまる→歯周病が進行している可能性があります。
※上記の項目すべてに当てはまる→歯周病の症状がかなり進んでいます。
その他にも歯ぎしり・くいしばり、不適合な被せ物や入れ歯、不規則な食習慣、喫煙・ストレス、全身疾患(糖尿病、心疾患、骨粗鬆症など)、服用薬なども歯周病に関連していることが分かっています。
①
②
③
④
⑤
歯周病は予防でき、治療も可能です。大切なことは歯周病を予防すること、自分が歯周病であると気づき、治療すること、そして定期的にメインテナンスをしていくことです。
生活習慣病の一つである歯周病は成人だけでなく、若年者にも多く見られます。この歯周病が慢性疾患であるために、そのほかの生活習慣病(特に心臓・循環器疾患や糖尿病)に影響を及ぼすことも分かっています。
当院では、お口の中の健康促進と全身疾患の予防のために、患者様の状況に合わせて毎月または2~6カ月に一度の定期的な歯のクリーニング(メインテナンス)を行っています。
歯ぐきの検査をして状態を知り、全体的な歯のクリーニングをします。
※歯ぐきから出血がある、腫れている、膿が出ているなどの症状がある場合は、歯周ポケット内にレーザーを当てて殺菌し、炎症を抑える処置をすることがあります。
当院で使用しているレーザー機械はこちらから
歯科衛生士が患者様のお口の中の状態を見て、その方にあったお手入れ方法を提案いたします。
歯の表面を歯垢のない清潔な状態に保つことが重要になります。当院でおすすめしている歯みがきの仕方・取り扱っている歯ブラシはこちらから


CAD/CAM(computer aided design/computer aided manufacturing)冠とは3Dプリンターで歯の形をスキャンしたデータをコンピュータに入力し、ハイブリッドセラミックと呼ばれる歯の色に似せた審美的材料のブロックをミリングマシンで歯の形に削り出したものです。天然歯とほぼ同じ強度のため、噛み心地がとても自然です。また生体親和性(人体によくなじみ、無害な成分であること)があるため、身体に負担をかけません。
保険診療で適応となったCAD/CAM冠ですが、すべての歯について適応されるわけではありません。現在は保険の適応が広がってきています。詳しくはスタッフにお尋ね下さい。
当院で使用しているCAD/CAM冠作成機械はこちらから
レーザー治療とは、ほとんど痛みがなく安全で患者さんに優しい治療法です。当医院ではNd:YAGレーザーを使用し、以下の治療にレーザーを使用しています。
むし歯になりやすい個所にレーザーを照射し、歯の耐酸性を向上し、むし歯になりにくい歯をつくります。
歯肉の腫れ、歯肉からの出血などの症状にレーザーを照射し、歯周ポケット内を殺菌、歯肉の炎症を緩和する目的で使用しています。
歯周ポケット:歯と歯肉の間のミゾ
口内炎ができると、飲み物がしみたりと痛みを感じ不快なものです。レーザーを口内炎に照射することによって痛みを軽減したり、治癒期間が短縮されます
色合いに個人差はありますが、歯肉はピンク色をしていますが、色が濃い、黒ずんでいるなどの悩みはありませんか?それは歯肉の細胞に含まれる”メラニン色素”の量によるものなのです。処置は麻酔をし、レーザーを数回照射し、メラニン除去を行い、歯肉の黒ずみを取り除きます。痛みはほとんどありません。
※自費治療となります。
また、安全で副作用もなく、妊娠中の方、高血圧・心臓病の方、ペースメーカーを使用されている方でも安心して処置を受けることができます。
毎日念入りにブラッシングしていても磨き残しやすい箇所があります。特に右図の①~③の部分に気をつけてブラッシングしましょう。
歯ブラシの形はスタンダードな物が良いでしょう。ヘッドは(毛の部分)小さめでネックは(ヘッドと持つところの間)細くやや長めのほうが、奥歯や歯の裏側が磨きやすくなります。毛の硬さは、歯肉を傷つけたりすることがあるのでなるべくやわらかめか普通で硬めは避けたほうが良いでしょう。
高速振動と幅広い振動が音波水流を発生し、歯垢を落とします。
デンタルフロスや歯間ブラシはとても重要です!!実はブラッシングだけでは歯と歯の間のプラークは完全に落とすことができません。しかし、むし歯や歯周病の多くはこの歯と歯の間から起こるのです。
ミクロの汚れを吸着・除去でき、とても柔らかく歯肉にも優しいです。
汚れています。あなたの歯と歯の間。歯ブラシで頑張って磨いたつもりでも、磨き残しはいっぱいあります。そのままにしておくと歯が抜けてしまうことも・・・。歯間ブラシは、プラーク除去ができるだけでなく、歯ぐきのマッサージや口臭予防効果もあります。歯ブラシでは届きにくい、歯と歯の間、Brの清掃(インプラント部)などに適しています。
約70mmのコンパクトサイズ携帯に大変便利です。また自由な角度に変えられるフレキシブルフィットします。
奥歯にもブラシを曲げずに挿入できる110°アングル内側、外側のどちらからでも操作しやすい挿入角度が調整しやすくペングリップで持ちやすい85mmホルダー。
知覚過敏症状を持続的に防ぎます。また、歯を刺激から守ります。
歯の再石灰化を促進し、ムシ歯を予防して健康な白い歯を守ります。着色が気になる方にオススメです。アプリコットミント味、フレッシュスペアミント味の2種類あります。
ムシ歯・歯周病の予防、口臭防止の歯磨き剤です。フッ素も入っていて、歯磨きするたび歯が強くなります。
フッ素が入っていて少ない泡立ち、やさしい香味なので、少量の洗口が可能で、より多くのフッ素を残せてお子様にもオススメです。
いつもの歯磨きに加えて使用するフッ素配合のジェル。洗口できない子にも使用でき、歯磨きと同じ様な動作でできるので安心です。
いつもの歯磨きに加えて使用する、歯周病予防。ムシ歯予防・口臭防止用のマウスウォッシュです。
等も置いてありますので、詳しくはスタッフまで。
主な治療内容としては、むし歯の予防、むし歯の治療、歯並びが悪くなる歯列不正を防いだり、歯並び矯正や外傷治療を行います。歯茎が悪くなる歯周疾患などを防止することにも力を入れていますが、これは基本的に継続的、定期的に検診をうけることで実現させていくものです。
その予防で一番効果があると言われているのが「フッ素」を用いた治療法ですが、日本では余り普及していません。
子供のむし歯は大人より進行が早いため、適宜早急な治療を必要とします。むし歯予防、フッ素塗布、食事指導などお気軽に診療室をお尋ねください。
私たちは永久歯を失うと残念ながら二度と生えてくる事はありません。
そのため今では『入れ歯』や『ブリッジ』などを用いてその部分を補うしか方法はありませんでした。しかし『入れ歯』だと固いものがうまく噛めない、発音がおかしい、そして残っている歯に負担をかけてしまいます。また『ブリッジ』で治すには隣の歯を削らなければなりません。
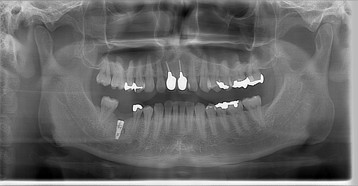
このように歯を失ってしまいお悩みの方に、当院では新しい治療法「インプラント治療」をご案内しております。
インプラント治療とは、失ってしまった自分の歯の替わりに、人工の歯根を顎の骨に埋め込み、その上に人工の歯を作製して噛み合わせを回復する治療法です。
また、入れ歯を動かなくする為に数本のインプラントを埋めて固定する方法もあります。
| 治療方法 | 従来の治療方法 | インプラント | |
|---|---|---|---|
| ブリッジ | 入れ歯 | ||
![]() |
![]() |
![]() |
|
| 良い点 |
|
|
|
| 留意点 |
|
|
|
インプラント治療に必要な診査を行いインプラントの治療が可能かどうかを診断してもらいます。その後、治療計画を立てます。
人工歯根(=フィクスチャー)を手術により顎の骨を埋入れする手術を行います。必要があれば骨を移植する場合もあります。局所麻酔を用いて行いますので安心して手術を受けることができます。当院では傷の治りを良くするために、手術前に採血を行い、専用の遠心分離器でCGFを得ます。CGFとは血小板とフィブリンを多く含んだゲル状のものです。それを潰し、膜状にしたものを埋入れしたインプラントの上に乗せ、歯肉を閉じると治りも早くなります。
この後、骨とインプラントがしっかり結合されるまでの治癒期間を設けます。(3~6カ月)
人工歯の支台となるインプラントの部品(=アバットメント)をフィクスチャーに連結します。
インプラントを含めたお口の中全体の印象採得(=型を取ること)を行います。その型に従い人工の歯を作成します。その後、アバットメントの上に人工歯を装着して完成です。
インプラント治療の終了後、インプラントを長持ちさせるためには適切なホームケアと定期的な検診が必要です。インプラントの本数やお口の中の状態により1か月~半年に1度、定期検診と歯のクリーニングを行います。
私は従来のインプラント1本○○円といった考え方に疑問を持っていました。植立する骨の状態などは患者さんにより千差万別なのに単純に決まってしまって良い物なのかと。骨移植・GBR・GTRが必要なこともありますし、上部構造物も金属冠からセラミックまで多種にわたるわけですからやはりそういったことをしっかり説明したうえで金額は決まっていくものだと思います。
当医院での料金システムは患者さんが理解しやすいようすべての処置に対して明細書を発行させていただいています。
一顎を3ブロックに分け1ブロックのインプラント埋入手術を125,000円とさせていただいております。
右下6が欠損で右下6に1本埋入れする手術を行うと(4.5 11㎜ 1本)
125,000円(埋入手術)+47,000円(4.5 11㎜)となります。
さらに骨移植・GBRを行うと30,000円の加算。ここまでがインプラントの埋入手術の料金になります。
上部構造物に関しては多種多様に渡ってしまい簡単に説明することは難しいと思います。しかし処置費用・材料費をすべて患者さんに分かるようにすることをお約束します。私たちは事前にしっかりお話し、納得いただいてから処置を行うことをなによりも大切だと考えています。不安を残さずにまず相談してみてください。
当医院は2003年からインプラント治療を開始し、現在では年間約50~60本のインプラント手術を行っております。(2017年実績)約14年間で累計約800本のインプラント治療を行い、過去の手術で13本のインプラントが脱落しておりますが、再手術をして現在では問題なく使用しております。
「手術」と聞くと心配な方もいらっしゃるかと思いますが、患者さんに十分な説明をし、不安を残したまま治療が行われないように努めておりますので、まずはお気軽にご相談下さい。
現在当院では院長の大学の後輩でもある山崎歯科医院(栃木県)へ出張へ行き、インプラント手術を行っております。月に2~4回程度、矯正治療の日等に当院で専門の先生が治療を行っている時間に行って、手術や経過観察を行っております。当院の患者様にはご迷惑をおかけ致しておりますがご了承下さいませ。

歯の一番目の大きな役割は食べるためです。 食べ物を咬み切るのは前歯の役割、咬んですりつぶすのは奥歯の役割です。また、ほとんどの人は、ものを飲み込むときに、上下の歯をしっかり咬み合わせ、 下あごの位置を安定させます。食べ物を咬んで飲み込むのは複雑なシステムによるもので、歯が並んでいてはじめてできる動作なのです。
歯と歯の間が開いている状態。歯そのものの大きさが小さかったり、歯に対してあごが大きいことなどが原因で起こる。また、埋伏歯や先天欠如歯など、歯の本数が足りなくて起こる場合も。
歯がデコボコに生えたり、歯の生え方が不揃いなもの。あごが小さくなっている現代っ子に多い不正咬合。
上の前歯や上あごが前に出たり、下あごが後退している状態。あごの骨に原因がある場合と、歯だけが前に出ている場合がある。
上の前歯が下の前歯に深くかぶさっている咬み合わせ。ときには、下の前歯が上の前歯に隠れて見えないことも(正常なのは、上の前歯が下の前歯を1/3~1/4くらい覆っている状態)。
おもに奥歯をしっかり噛んだときに前歯が咬み合わず、上下の前歯の間が開いている状態。口の中が乾きやすく、むし歯や歯周病、顎関節症になりやすい。
咬み合わせたときに下の歯が上の歯より前側にある歯並びのこと。上の歯のかぶさりがないので、下の歯の先端から根もとまですべて見える。
上下の奥歯が横にズレて、反対に組み合わさっている咬み合わせ。正中線(上下の歯の真ん中のライン)がズレている場合が多い。
歯には本来、力を加えられるとその方向に動く性質があります。歯列矯正は、そんな歯の性質を利用して、口の中に装置を入れ歯に一定の力をかけて人工的に動かし、悪い歯並びや咬み合わせを治す治療です。
| 長所 | 短所 | |
|---|---|---|
| セラミックブラケット |
|
|
| メタルブラケット |
|
|
矯正歯科治療に関する心配や疑問をお聞きしながら、ドクターがあなたのお悩みもじっくりと伺い、お口の中を診査し、歯列矯正歯科治療の大まかな説明、期間の見通し、使用装置、費用などを説明させていただきます。
頭部と顎のレントゲン、歯型の採取を行い、不正吸合の原因を分析します。これらの結果をもとに治療の計画を立案します。
精密検査により得られた診断結果に基づいて、より詳しく矯正歯科治療方法や治療期間、治療費用についてご説明をいたします。
矯正歯科治療計画を概ね理解していただけたら、いよいよ治療開始です。
矯正治療終了後、良好な吸合を維持するために保定装置を使います。歯を動かして治療していた時間と同程度使用します。
歯科矯正治療には健康保険は適用されません。したがって、次のような実費を申し受けます。
矯正治療にさきがけてレントゲン写真、歯の模型などの検査や資料をもとに総合的に分析を行い、治療の計画を立てます。
治療の難易や期間などにより異なります。なお、原則として最初の装置が入った時点(矯正装置装着料)で50%、矯正装置装着後1年経過時に残りの50%を納入していただきます。
A. 小児矯正・部分的な治療・・・100,000円+税~200,000円+税(小児矯正・部分的な治療を行った場合は、その差額となります。)
毎回来院時にお支払いいただきます。
不明な点がありましたらお気軽にご相談ください。
カンタンに説明すると、歯を削らずに白くすることと言ったらよいでしょうか。
といった歯そのものの色に困っている方に対して行われている処置です。よって基本的にはむし歯になっていない健全な歯に行われ、むし歯になってしまった歯に対して行うものではありません。
ホワイトニングの方法は大きく2つに分かれます。
白くしたい歯に薬剤を塗り、光線を当てて短時間で白くします。
オフィスホワイトニングでは1回の処置時間がおよそ90分ほどかかります。これを3~5回繰り返し、当初目指した白さになったか判断いたします。1回の処置で5千円程度かかります。
薬剤とマウスピースを患者に渡し、自宅で1日決まった時間だけマウスピースに薬剤をつけ、歯に装着して行います。
ホームホワイトニングではお渡ししたマウスピースに薬剤を注入して1日2時間装着していただきます。それを2~3週間続けて頂き目指した白さになったか判断いたします。初回はトレー代5,000円程度、薬剤1週間分2,000円程度。 合計7,000円程度かかります。 その後は薬剤代のみです。
★状況に応じて単独もしくは、両方を併用する場合もあります。それぞれ、長所、欠点がありますが処置の前に充分説明をさせていただいています。
※どちらも保険外治療になりますので、費用が少しかかります。
オフィスホワイトニングとホームホワイトニングでは、良い面もあれば悪い面もあります。 患者さんそれぞれに合ったホワイトニングを選んでいます。
| 長所 | 短所 | |
|---|---|---|
| オフィス ホワイトニング |
|
|
| ホーム ホワイトニング |
|
|
ホワイトニングは必ず後戻り現象が起こります。ですから白さを保つためには定期的なアフターケアが必要になります。目安とすれば3ヵ月~半年に1度です。それより前でも後でも気になる様ならその都度来院していただきます
自費治療にはホワイトニング・インプラント・色素沈着除去(メラニン色素除去)がありますが、その他にもあります。
笑った時、口を開けた時に金属が気になる方におすすめです。
ハイブリッドセラミックス(エステニア)で白く透明感のある美しさを出せます。金属アレルギーの方にもおすすめです。